BOTOX® Cosmetic
Before
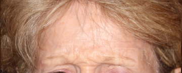
After
Problem: Aging in-between eyebrows (Glabella)
Treatment: Botox® Cosmetic
Patient Demographics: 70-Year-Old Female
Posted on
Before
After
Problem: Aging in-between eyebrows (Glabella)
Treatment: Botox® Cosmetic
Patient Demographics: 70-Year-Old Female
Professional Societies: American Society of Dermatologic Surgery, American Academy of Dermatology, American Society for Laser Medicine & Surgery
BAXT CosMedical® board-certified dermatologist specialize in non-surgical cosmetic enhancements and medical dermatology. This premier cosmetic dermatology center offers a variety of expert cosmetic services and laser treatments for the face and body to fulfill your anti-aging and skin rejuvenation goals. Our office located in Paramus, NJ, the Bergen County area. Patients from the tri-state area, including Paramus, New Jersey, Bergen County (NJ), Englewood (NJ), Ridgewood (NJ) and Passaic (NJ) can schedule convenient appointments.
Site powered by PUMC and AtlantisNet with copyrights reserved to Dr. Rebecca Baxt © 2026.
This website does not contain medical advice and the use of this website does not create a physician/patient relationship between you and the doctor at BAXT CosMedical®.
*Comments from all success stories and reviews are the expressed opinions of those patients and their experience and do not represent guaranteed results.
